*Corresponding Author:
Cindrel Tharumia Jagadeesan,
Department of Internal Medicine, Creighton University School of Medicine, Arizona, USA
E-mail: cindrel22@gmail.com
Abstract
Eisenmenger’s Syndrome develops as a consequence of progressive increases in pulmonary vascular resistance in the context of patent shunts. Peri-operative morbidity and mortality are particularly high in these patients. Increasing survival rates in patients with Eisenmenger syndrome leads to increased need for non-cardiac surgery. Literature is scant in cases with Eisenmenger syndrome who have required major gynecological surgery.
Continuous and close monitoring of hemodynamic changes is essential in these patients, given the fixed nature of pulmonary vascular resistance posing challenges to augment cardiac output effectively. Systemic blood pressure is an important factor to be managed perioperatively. Patients with low baseline blood pressure often pose greater intraoperative challenges. Vasopressin is started preoperatively in these patients to allow more robust systemic blood pressure. While pulmonary artery catheters were previously used, currently continuous cardiac monitoring via Flotrac, central venous pressure monitoring through central line, continuous central venous oximetry as a proxy for cardiac output in high-risk patients are some of the devices used for close monitoring. Right to left shunting in patients with Eisenmenger’s syndrome depends on the ratio of systemic vascular resistance to peripheral vascular resistance. Although studies are contradicting, recent evidences suggest that ketamine is preferred as induction agent in these patients, as it does not reduce systemic vascular resistance. Multidisciplinary management with monitoring in ICU is recommended in these patients. We present a case of a middle-aged woman with Eisenmenger’s syndrome who was successfully managed through total abdominal hysterectomy with an excellent outcome.
Keywords
Anesthesia; Cyanotic heart disease; Hemodynamics; Pulmonary hypertension
Abbreviations
PAH: Pulmonary Arterial Hypertension
PVR: Pulmonary Vascular Resistance
NO: Nitric Oxide
O2: Oxygen
WHO: World Health Organization
Introduction
Eisenmenger’s Syndrome develops as a consequence of progressive increases in pulmonary vascular resistance in the context of patent shunts. Severe Pulmonary Arterial Hypertension (PAH) causes reversal of initial left to right shunt leading to mixing of deoxygenated blood with oxygenated blood and marked hypoxemia. Morbidity and mortality are particularly high for these patients during general anesthesia. Here, we describe a case of a middle-aged woman with Eisenmenger’s syndrome who was successfully managed through total abdominal hysterectomy with an excellent outcome.
Case Presentation
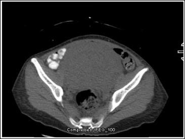
A 40-year-old female with past medical history of a large unrepaired ventricular septal defect causing severe PAH and right to left shunting (Eisenmenger’s syndrome) and a massive uterine fibroid disease (Figure1) presented to our hospital with complaints of pelvic pain which was progressively worsening, associated with palpitations and increasing shortness of breath. Six months prior to presentation she had been well, able to hike and enjoy an active lifestyle. Two months prior to presentation she became bed-bound due to severe pelvic pain. She had sought consultation at multiple other hospitals and was told that she was not a surgical candidate. She had been followed for several years for PAH in another state. She was taking riociguat, macitentan and subcutaneous treprostinil at the time of presentation.
On examination, she had a low-grade temperature, her heart rate was 110/min, blood pressure was 121/56mmHg, respiratory rate was 20, and her pulse oximetry was 88% at rest on 3L/M of O2. With minimal activity her room air oxygen saturation dropped to 70%. Echocardiography revealed normal left ventricular systolic and diastolic function, mild tricuspid regurgitation. The right ventricle was hypertrophied and had normal systolic function.
She was admitted to the pulmonary hypertension service. Gynecology was consulted for surgery and her pain was controlled using opiates. She had severe iron deficiency anemia with a hemoglobin of 9 at presentation. In the context of her Eisenmenger’s physiology, appropriate hemoglobin was felt to be closer to 15. She received iron-sucrose and blood products targeting hemoglobin of 10gm/dl.

Figure 1: CT A/P transverse view showing uterine fibroid.
Note: Transverse section of Pelvis showing massive uterine fibroid.
She underwent right heart catheterization which confirmed severe PAH. Her mean pulmonary artery pressure was 91 (systolic of 150, diastolic of 75) and her wedge pressure was 10mmHg. Cardiac index was 5.29 L/min/m2 and her Pulmonary Vascular Resistance (PVR) was 14.9 wood units. Nitric oxide was tested and although she did not meet formal Nitric Oxide (NO) responder criteria, PVR did fall by 15% with administration of 40ppm of NO. Resting shunt fraction (pulmonary to systemic blood flow ratio) was calculated at 0.73 indicating moderate resting right to left shunting. Despite all these findings her RV was compensated and blood flow was adequate. Prior to surgery, she was moved into the intensive care unit where an arterial line and continuous oximetric central venous catheter were inserted and pulse-contour cardiac monitoring (Flotrac) was initiated. She was started on vasopressin preoperatively and was given prophylaxis for endocarditis with Ampicillin-Sulbactam. Her cardiac output remained greater than 5L/min prior to surgery. She was prepped and draped while awake to limit anesthesia time and was induced with total intravenous anesthesia using Ketamine, Midazolam and Fentanyl. Nitric Oxide was delivered throughout her surgery. Her complex hemodynamics during the intraoperative period was managed by her pulmonary hypertension specialist who was present for the entire procedure. She underwent total abdominal hysterectomy with a large median incision by the attending gynecologist with assistance from a general surgeon. A 14 cm uterus was removed at the end of the procedure. Estimated blood loss was 500ml. She received 50ml of saline, one unit of packed red blood cells and 25gm of 25% Albumin. She made 50ml of urine during her 90-minute surgery. She was transferred back to the ICU intubated and on low dose vasopressin. She was extubated later the same day. Post Op day one, her vasopressin was weaned off. Her urine output remained >0.05ml/kg/hr and her oxygen saturation remained >90% on 4L O2. She became ambulatory over the next day and her oxygen requirements were further reduced to 3L. She was then discharged from the hospital on postoperative day 4. She has been seen in clinic during follow-up and remains in good health with dramatic improvements in exercise capacity and complete resolution of her pelvic pain.
Discussion
Eisenmenger syndrome is associated with congenital heart defects such as atrial septal defect, ventricular septal defect, patent ductus arteriosus depending on the size and location of the defect. Increasing survival rates in patients with Eisenmenger syndrome leads to increased need for non-cardiac surgery. In general, management of patients with Eisenmenger syndrome is largely supportive. Literature is scant in cases with Eisenmenger syndrome who have required major gynecological surgery.
Perioperative mortality for patients with Eisenmenger’s syndrome undergoing major non-cardiac surgery remains high (up to 19%) [1]. Underlying surgical pathology, urgency, duration of surgery, anesthesia used along with severity of cyanosis and right ventricular dysfunction affect perioperative risk [2]. A complete perioperative assessment involving electrocardiography, transthoracic echocardiography, assessment of WHO functional classification, laboratory studies, preoperative right heart catheterization with vasodilator testing was undertaken in our patient as recommended [3].
The goal of close monitoring in these patients is to detect sudden changes in hemodynamics early [2], as these patients are unable to augment their cardiac output due to their fixed pulmonary vascular resistance [4]. Over the past 20 years, we have consistently seen that systemic blood pressure is a key variable. Patients with low baseline blood pressure present greater intraoperative challenges. Propofol and inhalation anesthetics lower systemic vascular resistance leading to a feed forward cycle of instability. As systemic blood pressure falls, the right ventricle becomes ischemic and more dysfunctional leading to lower cardiac output. Thus, we routinely start vasopressin preoperatively to allow more robust systemic blood pressure. We abandoned using pulmonary artery catheters more than 15 years ago as pulmonary artery pressure is not an acute target of management; this tool offers no useful information and increases the risk of arrhythmia. Continuous cardiac output monitoring via Flotrac gives us adequate directional information. If we expect significant blood loss, central venous pressure monitoring with a central line can provide additional information. In our highest risk cases we often use continuous central venous oximetry as this is a very useful proxy for cardiac output.
Right to left shunting in patients with Eisenmenger’s syndrome depends on the ratio of systemic vascular resistance to peripheral vascular resistance. Ketamine has its advantages as it does not reduce systemic vascular resistance and is used to induce and maintain anesthesia in patients with Eisenmenger syndrome [5]. An early publication suggested that ketamine can increase pulmonary vascular resistance [5] but this has been disproven in subsequent publications [3,6,7].
Post-operatively, patients should undergo close monitoring in the Intensive Care Unit. They are prone to dysrhythmias, thromboembolic events and bleeding [8]. Meticulous attention to fluid balance to avoid iatrogenic fluid overload which will worsen right ventricular performance [2]. Our patient had an uneventful postoperative course.
Conclusion
Extensive perioperative care is required in adult patients with Eisenmenger’s syndrome undergoing noncardiac surgery. Multidisciplinary management with critical care specialists, anesthesiologists, pulmonary hypertension specialists and surgeons are required. With improving survival of Eisenmenger’s patients we expect a burgeoning need for perioperative and operative care. In the absence of randomized prospective studies, we have to rely the experience of multidisciplinary teams to deliver optimal care.
Acknowledgement
We thank Dr. Jeremy Feldman for the opportunity, guidance, sup- port and excellent management of the case.
References
- Vongpatanasin W, Brickner ME, Hillis LD, Lange RA (1998) The Eisenmenger syndrome in adults. Ann Intern Med 128: 745-755.
- Ammash NM, Connolly HM, Abel MD, Warnes CA (1999) Noncardiac surgery in Eisenmenger syndrome. J Am Coll Cardiol 33: 222-227.
- McGlothlin D, De Marco T (2007) Preoperative risk assessment of pulmonary arterial hypertension Patients undergoing general Adv Pulm Hypertens 6: 66-73.
- Colon-Otero G, Gilchrist Gs, Holcomb Gr, Ilstrup Dm, Bowie Ejw (1987) Preoperative evaluation of hemostasis in patients with congenital heart dis Mayo Clin Proc 62: 379-385.
- Tweed WA, Minuck M, Mymin D (1972) Circulatory responses to ketamine anesthesia. Anesthesiology 37: 613-619.
- Saxena A (2012) Total intravenous anaesthesia in a patient with eisenmenger syndrome: Case Report. J Anesth Clin Res 3.
- Foster JMG, Jones RM (1984) The anaesthetic management of the eisenmenger syndrome. Ann R Coll Surg Engl 66: 353-355.
- Cannesson M, Earing MG, Collange V, Kersten JR (2009) Anesthesia for noncardiac surgery in adults with congenital heart Anesthesiology 111: 432-440.
Citation: Sarma H, Tharumia Jagadeesan C, Feldman JP (2021) A Patient with Eisenmenger’s Syndrome: Major Surgery in a Patient with Severe Pulmonary Hypertension. J Cardio Cardiovasc Med 5: 023.
Copyright: © 2021 Sarma H, et al. This is an open-access article distributed under the terms of the Creative Commons Attribution License, which permits unrestricted use, distribution, and reproduction in any medium, provided the original author and source are credited.


