*Corresponding Author:
Thet Khaing,
Department of Cardiology, National University Heart Center, Royal Palm Mansions, Pasir Panjang Road, Singapore
Tel: +65 97397933
E-mail: khaing_thet@nuhs.edu.sg
Abstract
Coronary arteries with anomalous origin are often found incidentally. The Coronary Artery Surgery Study (CASS) registry has shown that anomalous coronary arteries are more prone to develop atherosclerosis. When presenting with acute coronary syndrome, patients with anomalous origins of coronaries arteries may have worse outcome because of the unexpected anatomy. In this case series, we will present five cases of anomalous origin of the Right Coronary Artery (RCA) from the left coronary artery. Our first case was an incidental finding during preoperative work up for aortic valve replacement and likewise the second case an incidental finding during primary Percutaneous Coronary Intervention (PCI) for anterior ST Elevation Myocardial Infarction (STEMI). In the third case, the anomalous RCA was one of the culprits for unstable angina and in the fourth case, it was responsible for inferior STEMI. In three cases, the RCA arose from the distal Circumflex artery (Cx), in one case it arose from the Left Anterior Descending artery (LAD) whilst in the fifth case, the RCA arose from the Left Main (LM) coronary artery and this is the first ever description of an anomalous RCA originating from LM as far as we are aware.
Learning Objective
With advancing imaging technology in cardiology, the incidence of anomalous coronary arteries detected can be expected to increase in the future. If it is an incidental finding, long-term follow up plan and timing of referral for revascularization will be important considerations for clinicians. During acute presentation, the abnormal anatomy and culprit lesions can be challenging for identification and treatment requiring the interventionist to be extra vigilant of its possible existence.
Introduction
Isolated congenital coronary artery anomalies are rare, with an incidence of 0.6% to 1.55% in some large angiographic series [1]. Some of the anomalous coronary arteries can remain silent for the whole life. Unfortunately, in some cases, the initial presentation may be sudden cardiac death by different mechanisms such as coronary vasospasm, compression by the great vessels, and plaque rupture [2,3]. Some cases may present with serious ischaemic consequences and some may need to be closely monitored for any late complications. There is no definitive management for the anomalous coronary arteries and it will be based on multiple factors such as initial presentation, anatomical nature of the coronaries, other associated congenital heart diseases, comorbidities, and prognosis. The advancement of coronary imaging technology has led to increased incidental discovery of asymptomatic anomalous coronary arteries which may subsequently pose management challenges in long term follow up. Anomalous origin of the right coronary artery alone from the left coronary sinus or posterior coronary sinus is very rare with an incidence of only 0.1 to 0.3% whilst the anomalous origin of Right Coronary Artery (RCA) from the left coronary artery is extremely rare, with an incidence of 0.024% 0.066% of general population [2,4,5]. In this paper, we present a case series of five patients whose right coronary artery originated from their left coronary artery.
Case 1
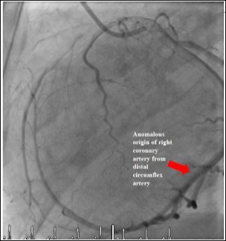
Our first case was a 57-year-old male with a history of moderately severe aortic stenosis presenting with syncope and reduced effort tolerance. Preaortic valve replacement surgery, he had a diagnostic coronary angiogram which revealed an anomalous origin of his right coronary artery from the distal left circumflex artery and a significant left anterior descending artery lesion (Figure 1). The patient underwent successful bioprosthetic aortic valve replacement surgery with coronary artery bypass grafting of Left Anterior Descending artery (LAD).
Case 2
Our second case was a 67-year-old male with no prior cardiac history who presented with an acute anterior STEMI. Emergency coronary angiography revealed a single coronary artery with a critical stenosis in the proximal LAD (culprit lesion) and RCA arising from the distal circumflex artery (Figure 2). Successful primary PCI of proximal LAD was performed (Figures 3 & 4). Echocardiography was done during admission showing no associated structural heart disease. Patient was discharged after 4 days of hospital stay without any complications and remained asymptomatic during follow up.

Figure 1: Anomalous Origin of the Right Coronary Artery from the Distal Circumflex Artery.

Figure 2: Anomalous Origin of the Right Coronary Artery (RCA) from the Distal Circumflex Artery (LCx).
Case 3
The third case was a 51-year-old male with no prior history of ischaemic heart disease presenting with unstable angina. His admission ECGs was unremarkable. Diagnostic coronary angiogram was done and it showed a right coronary artery arising from the proximal LAD. Mid LAD had severe diffuse stenosis distal to the origin of RCA. There was a 70% stenosis in the proximal RCA and a further 80% stenosis in the distal RCA (Figure 5). PCI to mid LAD and proximal RCA was done (Figure 6). It was an uncomplicated procedure and patient was discharged after 4 days of hospital stay. The echocardiography did not reveal any associated structural heart disease.

Figure 3: Proximal Left Anterior Descending (pLAD) lesion before percutaneous coronary intervention.

Figure 4: Proximal left anterior descending lesion after percutaneous coronary intervention.
Case 4
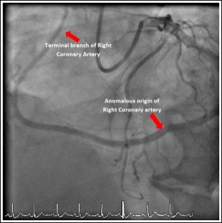
The fourth case was a 51-year-old male known to have hypertension who presented with post exertional syncope. His ECGs showed ST elevation in the inferior leads. He also developed complete heart block and haemodynamic instability. During emergency coronary angiography, multiple attempts to cannulate the Right Coronary Artery (RCA) in its expected location were unsuccessful. Left coronary angiogram with aortogram did not reveal any identifiable RCA origin (Figure 7). There was moderate to severe long segment of disease in the proximal LAD. The Left Circumflex (LCx) artery was a large calibre vessel with an occlusive stump at its distal bifurcation with an obtuse marginal branch (Figure 8). Following wiring of the occluded distal circumflex segment and balloon angioplasty with restoration of antegrade flow, it can then be seen that the Right Coronary Artery (RCA) actually arises from the distal LCx vessel (Figures 9 & 10). After PCI of the distal LCx lesion with a drug eluting stent, patient improved with resolution of bradycardia and hypotension. Patient subsequently made an uneventful recovery.

Figure 5: Anomalous origin of right coronary artery from the proximal left anterior descending artery and diffused lesion of the distal right coronary artery.

Figure 6: Anomalous origin of right coronary artery from the proximal left anterior descending artery (post PCI).

Figure 7: Aortogram without any contrast filling of the origin of right coronary artery in its expected location.

Figure 8: Left Circumflex (LCx) artery was of a large calibre with an occlusive stump at the distal bifurcation with an obtuse marginal branch in Right Anterior Oblique (RAO) caudal view.

Figure 9: Diffused lesion of the LAD in Left anterior oblique cranial view.

Figure 10: The RCA arises from the distal LCx vessel Left anterior oblique cranial view.
Case 5
The fifth case was a 57-year-old male who presented with an anterior STEMI. During primary PCI, it was noted that the RCA originated from left main coronary artery (Figure 11). The mid to distal RCA was sub totally occluded. Primary PCI of the culprit proximal-LAD lesion was done successfully. His echocardiography did not reveal any associated other congenital heart diseases. The residual disease in the anomalous distal RCA was left for medical therapy.

Figure 11: Right Coronary Artery (RCA) originates from the Left Main coronary artery (LM).
Discussion
Anomalous coronaries are very rare and sometimes associated with other congenital heart disease [1]. In our case study, none of the cases is associated with other congenital heart diseases. Most of the anomalous coronaries are asymptomatic, but two cases here presented with acute coronary syndrome with different severity.
RCA as a branch of LAD is very rare and less than 40 cases are reported in the literature [6]. RCA anomalously originating from the distal LCX is extremely rare with just over two dozen cases reported in the literature, although in our current case series we report 3 such cases [7,8]. In some previous case reports, RCA originating from the distal LCX needed CABG, but in our case series, CABG was not required [9]. To the best of our best knowledge, this is the first report of a RCA originating from the left main artery.
Lipton et al established classifications one of the well-known classifications for anomalous coronary arteries [5]. Based on the Lipton classification in this case report, first, second and fourth cases will be group I LI (Figure 12). The third case will fall under group II LII and it may be LIIA, LIIB or LIIC (Figure 12) as no further imaging was performed to localize the definitive epicardial course of the anomalous Right Coronary Artery (RCA).

Figure 12: Lipton Classification Group II LIIB.
A: anterior to the grate vessels, B: between the great vessels, P: posterior to the great vessels
In a right dominant system, the Right Coronary Artery (RCA) supplies approximately 16% of blood flow to the left ventricle, 56% by the left anterior descending artery and 28% by the circumflex artery. [10,11]. In situations where the right coronary artery arises from the left coronary artery, the entire left ventricle derives its blood supply from the left coronary artery and it becomes very vulnerable to any obstructive disease in either branches of the left coronary artery proximal to the origin of an anomalous right coronary artery.
It will be very difficult to screen for anomalous coronary arteries as most of them are asymptomatic and cost benefit is uncertain.
The surgical management of anomalous coronary artery will be challenging especially in this case series which are very rare. In the setting of an acute coronary syndrome, it can be very difficult to predict anomalous coronaries before performing coronary angiogram. The operator will need to be vigilant to the presence of anomalous origin of coronary arteries should there be difficulty in cannulating a coronary artery in its expected location, this is particularly important when the procedure is done in emergent situation.
Conflict of Interest
The authors declare that there is no conflict of interest.
References
- Yamanaka O, Hobbs RE (1990) Coronary Artery Anomalies in 126,595 Patients Undergoing Coronary Cathet Cardiovasc Diagn 21: 28- 40.
- Yurtdas M, Gulen O (2012) Anomalous origin of the right coronary artery from the left anterior descending artery: Review of the literature. Cardiol J 19: 122-129.
- Maron BJ, Carney KP, Lever HM, Lewis JF, Barac I, et (2003) Relationship of race to sudden cardiac death in competitive athletes with hypertrophic cardiomyopathy. Send to J Am Coll Cardiol 41: 974-980.
- Brothers J, Gaynor JW, Paridon S, Lorber R, Jacobs M (2009) Anomalous Aortic Origin of a Coronary Artery with an Interarterial Course: Understanding Current Management Strategies in Children and Young Adults. Pediatr Cardiol 30: 911-921.
- Lipton MJ, Barry WH, Obrez I, Silverman JF, Wexler L (1979) Isolated single coronary artery: diagnosis, angiographic classification, and clinical signifi Radiology 130: 39-47.
- Balghith M (2013) Anomalous origin of the right coronary artery from the proximal left anterior descending artery and a single coronary artery anomaly: Three case reports. J Saudi Heart Assoc 25: 43-46.
- Paolo A (2007) Coronary Artery Circulation 115: 1296-1350.
- Pourafkari L, Taban M, Ghaffari S (2014) Anomalous Origin of Right Coronary Artery from Distal Left Circumflex Artery: A Case Study and a Review of its Clinical Significance. Send to J Cardiovasc Thorac Res 6: 127-130.
- Chou LP, Kao C, Lee MC, Lin SL (2004) Right coronary artery originating from distal left circumflex artery in a patient with an unusual type of isolated single coronary artery. Jpn Heart J 45: 337-342.
- Sianos G, Morel MA, Kappetein AP, Morice MC, Colombo A, et al. (2005) The SYNTAX Score: an angiographic tool grading the complexity of coronary artery disease. EuroIntervention 1: 219-227.
- Villa D, Sammut E, Nair A, Rajani R, Bonamini R, et al. (2016) Coronary artery anomalies overview: The normal and the abnormal. World J Radiol 8: 537-555.
Citation: Khaing T, Ramasami N, Chan KH (2018) A Case Series of Anomalous Right Coronary Artery Arising from the Left Coronary Artery. J Cardio Cardiovasu Med 3: 008.
Copyright: © 2018 Khaing T, et al. This is an open-access article distributed under the terms of the Creative Commons Attribution License, which permits unrestricted use, distribution, and reproduction in any medium, provided the original author and source are credited.


